top of page

Clinical Work & Photography
A selection of clinical, aesthetic, non-clinical and before & after photography - demonstrating the standard you can achieve with the right technique and understanding.
Click on any images below to enlarge.
Dental
Aesthetics
Non-Clinical
Before & Afters


























Anatomy and surface texture of upper centrals and surrounding soft tissue

Vascular network within the labial frenum

Retracted record pre-treatment

Post-op following placement of BioDentine

Mid-treatment during restoration of the upper premolars

Documentation of trauma

Anatomy and surface texture of a composite veneer.

Side profile view following composite bonding

Documentation of recession

Shade selection prior to composite restoration

Patient education of their periodontal disease

Pre-treatment record.

Occlusal view of the maxillary teeth.

Occlusal view of the maxillary teeth.

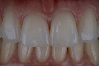
Mid-treatment during black triangle closures.

Post-op following restoration of the premolars.

Patient education of their dental decay.

Shade selection prior to composite bonding.

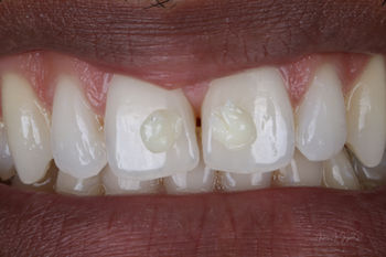
Pre-treatment of black triangles.

Pre-treatment of black triangles, with rubber dam.

Close-up view of the upper incisors.

Post-op following composite restoration of the upper right
incisor.

Patient education of their periodontal disease.

Post-op following composite restoration of the first molar.

Pre-treatment record prior to commencing Invisalign.

Pre-treatment record

Pre-treatment record

Post-treatment record of cheek enhancement

Pre-treatment record

Post-treatment record of lip augmentation

Pre-treatment record highlighting forehead lines

Pre-treatment record highlighting forehead lines

Pre-treatment record highlighting horizontal neck rhytides

Post-treatment record of lip augmentation

Pre-treatment record of crows feet

Post-treatment record of skin rejuvenation

Post-treatment record of lip augmentation

Pre-treatment record highlighting frown lines

Post-treatment record of chin and jaw augmentation

Post-treatment record of lip augmentation

Pre-treatment record highlighting forehead lines

Pre-treatment record highlighting frown lines

Pre-treatment record highlighting forehead lines





















Black triangle closures with composite.

Teeth whitening with Enlighten.

Invisalign, teeth whitening and composite bonding.

Black triangle closures and composite bonding.

Composite bonding.

Invisalign, teeth whitening and composite bonding.

Restoration of chipped tooth with composite.

Restoration of chipped tooth with composite.

Restoration of dental decay with composite.

Composite veneers.

Black triangle closures and composite bonding.

Composite veneers.

White spot treatment with ICON.

Periodontal (gum) treatment.

Teeth whitening with Enlighten and composite bonding.

Teeth whitening with Enlighten and composite bonding

Teeth whitening with Enlighten and composite bonding

Teeth whitening with Enlighten.

Teeth whitening with Enlighten.

Teeth whitening with Enlighten.

Minimalistic composite edge bonding.

Restoration of abrasion cavities with composite

Restoration of dental decay with composite.

Periodontal (gum) treatment.

Teeth whitening with Enlighten and composite bonding.
bottom of page
